耳鼻咽喉・頭頸部外科
主な診療
アレルギー性鼻炎
アレルギー性鼻炎とは、くしゃみ、鼻みず、鼻づまりを主症状とする、I型アレルギー反応による鼻炎のことです。通年性のアレルギー性鼻炎と季節性のアレルギー性鼻炎(花粉症)に分類されます。通年性のアレルギー性鼻炎の原因になりやすい物質は、ハウスダスト、ダニ、犬や猫などのペット、カビなどです。アレルギー性鼻炎は有病率が増加しており、特にスギ花粉症の有病率の増加、低年齢化が起こっていると言われています。
アレルギー性鼻炎の患者さんの内視鏡写真です(左側)。粘膜が白く腫れ上がり、透明な鼻水が充満しています。右側は長い経過で粘膜が腫れ上がっている状態で鼻づまりをおこしています。
当科では、アレルギー性鼻炎を疑う症状を引き起こす疾患について精査して正確な診断を行うことを心がけています。その上で症状を起こす原因を検索し、生活指導を含め対処法を指導しています。アレルギー性鼻炎については、根治を目指す治療法としてダニとスギで口腔粘膜から抗原エキスを含んだ錠剤を吸収させる舌下免疫療法に力を入れています。この治療によって、効果が長期間持続し、薬物の使用量を減らすことができます。新規アレルゲンに対する感作が抑制され、花粉に対する小児アレルギー性鼻炎では、喘息の発症頻度が抑制されるとの報告もあります。このため、小児アレルギー性鼻炎に対しては、長期間の鼻炎の罹患が予想されることより、小児科と協力しながら、積極的に導入を行っています。舌下免疫療法は、長期間(3~5年)の継続を要しますが、開始当初は副作用に注意する必要があります。当科では、副作用が出た際にも学校生活に支障をきたしにくいように、夏休みに集団初回投与を行っています。このような取り組みによりアレルギーの体質が強いお子さんでも安全に導入できるように心がけています。また維持期には地域のかかりつけの先生方と協力しながら、長期間継続できるように体制を整えています。
| ダニ | スギ | |
| 2018 | 76 | 39 |
| 2019 | 55 | 44 |
| 2020 | 47 | 20 |
| 2021 | 73 | 51 |
当科での小児舌下免疫療法開始患者

過去の集団初回投与の様子また、重症の患者さんには内視鏡下鼻腔手術を、スギ花粉による重症の季節性アレルギー性鼻炎には抗IgE抗体であるオマリズマブによる治療も行っています。
好酸球性副鼻腔炎
好酸球性副鼻腔炎は、鼻の中に鼻茸(鼻ポリープ)ができ、鼻閉、嗅覚障害などの症状を起こす疾患で、薬や手術などの治療を行っても再発しやすい難治性の副鼻腔炎です。中耳炎や気管支喘息を合併したり、解熱鎮痛薬で喘息を起こしたり、ショックを起こしたりするアスピリン不耐症を合併しやすいと言われています。経口ステロイド薬が効果を示しますが、経口ステロイド薬の継続は副作用を起こす可能性があり、できるだけ最小限の投薬にしています。手術を行っても再発しやすい疾患ですが、まず手術を行うことでステロイド薬の減量をはかることが期待されています。当科ではできるだけ患者さんの負担が少ない方法を心がけています。
当科では、患者さんの症状を聞きながら、内視鏡検査、血液検査、気管支喘息の精査、嗅覚検査、鼻腔通気度検査など各種検査にて精査し、内視鏡下副鼻腔手術、抗体製剤による治療など、アレルギー内科と連携して集学的なアプローチでこの難病に取り組んでいます。
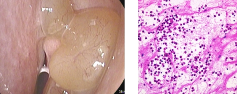
左図は好酸球性副鼻腔炎の患者さんの内視鏡写真です。水ぶくれのような袋が鼻茸であり、幾つもの鼻茸ができて鼻の中を充満していくのが特徴です。
右図は好酸球性副鼻腔炎の患者さんの鼻茸の顕微鏡写真です。核が青紫色に染まった好酸球が多数確認できます。
歯性上顎洞炎
虫歯や歯周病など口腔内の炎症・感染症が上顎洞に波及して、副鼻腔炎になります。
原因となる歯としては、奥歯(第一臼歯)が多いです。

歯根からの炎症が上顎洞に波及しています。
副鼻腔真菌症
通常の副鼻腔炎と同様の症状ですが、真菌(いわゆる「カビ」)によって引き起こされ、高齢や免疫の低下した患者さんに多い疾患です。
浸潤型であれば脳や目の合併症を引き起こし、生命に関わる可能性があるため、早期の手術や抗真菌薬の投与が必要です。
真菌(カビ)副鼻腔乳頭腫
副鼻腔の良性腫瘍ですが、手術をしても再発が多い疾患です。inverted type(内包発育型)であれば悪性化の可能性があり、悪性腫瘍が混在することもあります。
耳科疾患
突発性難聴
突然に片耳の難聴、耳閉感、耳鳴が出現し、めまいを伴うこともあります。
原因不明ですが、症状が残る可能性が高いため、経験的に早期のステロイド治療を行います。
症状が似ている急性低音障害型感音難聴やメニエール病、聴神経腫瘍などの診断も行っています。
顔面神経麻痺
ヘルペス属ウイルスの感染などが原因で突然に片側の顔面が麻痺する疾患です。
見た目の問題だけでなく、目が閉じない、口が閉じないため生活に支障をきたします。
早期のステロイド治療を行います。
頭頸部外科疾患
甲状腺腫瘍
甲状腺は首の前側にある蝶のような臓器で、代謝に関わるホルモンを作る働きがあります。特に無症状である場合が多いですが、首の腫れやホルモンの異常・検診で腫瘍が見つかることがあります。良性腫瘍であれば超音波(エコー)検査を中心に大きくなって症状が出るまで経過観察をしますが、大きいものや悪性が疑われれば手術による摘出を行います。甲状腺の裏には声帯を動かす反回神経が走っており、手術でこれを傷つけて声が悪くなることがないように、手術の際は電気刺激装置(NIM)を用いて安全に神経を温存しています。
唾液腺腫瘍
唾液腺は口の周りにある唾液(つば)を作る組織ですが、大きいものは耳の前にある耳下腺、顎の下のある顎下腺・舌下腺があります。ここに腫瘍ができた場合、悪性の可能性があれば手術をおすすめしています。唾液腺の近くに顔面神経(顔を動かす神経)などの神経が走っている場合には、電気刺激装置(NIM)を用いて神経を損傷しない手術をこころがけています。
めまいや飲み込みにくさはありませんか?
めまい検査入院
加齢や三半規管などめまいで困っておられる患者さんに、めまいの検査やリハビリを行っています。症状の改善のためのめまい体操を指導しています。
嚥下(のみこみ)検査入院
飲み込みにくい、飲むときにむせやすいなど、嚥下障害が疑われる患者さんに対して、入院での精密検査、リハビリ指導を行っています。飲み込みは食べるという基本的動作に必要なだけでなく、肺炎の予防にも非常に大切な動作です。言語聴覚士、栄養士、薬剤師などと協力して、チームで検査や治療を行います。
主要検査
- アレルギー検査(特異的IgE測定、鼻汁好酸球検査、アレルゲン誘発テスト、皮内テスト)
平衡機能検査(赤外線CCD記録装置、重心動揺検査(負荷検査可能)、電気眼振計(ENG))
-
診療科
-
センター
-
診療支援部門
-
チーム医療部門
-
研究部門

