整形外科
診療科の特色
- 上肢や下肢の骨折や外傷、股関節や膝関節の障害に対して、診断と保存・手術治療を中心に診療をおこなっています。
- 股関節や膝関節障害に対しては、安全性と正確性に優れるロボット支援技術を使用して人工関節手術をおこなっています。
- 併存症や高齢などで手術に注意を要する患者様にも、循環器内科や呼吸器内科など各診療科と連携し、安全性の高い入院診療をこころがけています。
股関節・膝関節障害の治療 ―人工関節置換術―
股関節・膝関節の関節軟骨が擦り減り関節の変形をきたす疾患(変形性関節症)や、大腿骨頭への血流がとだえ部分的に骨頭の骨細胞がしんでしまう疾患(大腿骨頭壊死症)は、関節の強い痛みや歩行に大きな支障をきたす原因となります。保存治療で十分な効果が得られない場合、関節をインプラントに置き換える人工関節置換術が痛みを取り除き、歩く力を取り戻すきわめて有効な治療法となります。
当院では、3次元コンピュータ術前計画と連動した最新のロボット支援下手術を行うことで、正確で安全性の高い手術操作やインプラント設置が可能となり、優れた人工関節の耐久性の獲得や脱臼などの合併症防止にも有用です。

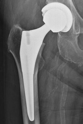
人工股関節全置換術(術前)

人工股関節全置換術(術後)

人工膝関節全置換術(術前)

人工膝関節全置換術(術後)
外傷治療
高齢化社会に伴い、大腿骨近位部や橈骨遠位端、上腕骨近位端、足関節などの骨折が増加しています。各診療科や他職種と連携し、早期手術とリハビリテーションにより、安全な治療と早期回復を目指しています。

上腕骨遠位端骨折(術前)

上腕骨遠位端骨折(術後)

足関節骨折(術前)

足関節骨折(術後)
骨粗鬆症
骨粗鬆症の治療は、将来の骨折予防のために重要です。骨密度のデータと血液検査の骨代謝マーカーの数値をもとに、それぞれの患者様に最適な骨粗鬆症薬を使います。状態が安定すれば、地元の開業医様に紹介させて頂きます。
脊椎症例
脊椎外科の常勤専門医は在籍しておりませんが、腰部脊柱管狭窄症などの脊椎疾患に関しては、非常勤の脊椎専門医師の診察にて、適切な病態評価と治療方針の決定をはかっております。手術適応のある患者様は近隣の病院へ紹介致します。
診療科・部門
Department
-
診療科
-
センター
-
診療支援部門
-
チーム医療部門
-
研究部門